酒驾曝光,一场惊心动魄的真实事件亲爱的读者们,今天我要给你讲述一个让人心惊肉跳的真实故事。这个故事关于酒驾,一个我们每个人都应该警惕的话题。让我们一起揭开这场惊心动魄的酒驾事件的神秘面纱。一、事件背景那是一个普通的夜晚,繁华...
酒驾曝光,一场惊心动魄的真实事件亲爱的读者们,今天我要给你讲述一个让人心惊肉跳的真实故事。这个故事关于酒驾,一个我们每个人都应该警惕的话题。让我们一起揭开这场惊心动魄的酒驾事件的神秘面纱。一、事件背景那是一个普通的夜晚,繁华...
最近网络上可是热闹非凡呢!河北学校的一则则爆料视频,简直成了大家茶余饭后的谈资。这些视频里,有搞笑的,有感人的,还有让人深思的。今天,就让我带你一起走进这个“河北学校爆料视频大全”,看看都有哪些精彩内容吧!一、校园趣事篇在“...
最近海南可是热闹非凡呢! 小编我可是迫不及待地要给你爆料保证让你大吃一惊!海南新机场启用,空中丝绸之路再升级你知道吗,海南的空中丝绸之路又迎来了一次大升级! 新建成的海南国际航空枢纽已经正式启用,这可是我国首个自由贸易港的标...
最近菏泽的网红圈可是炸开了锅,一个名叫“小梦”的小姐姐,因为一段“小三”的传闻,成为了大家热议的焦点。这不,又有最新爆料出来了,咱们一起来八卦八卦,看看这背后到底隐藏着怎样的故事吧!一、网红小梦的走红之路小梦,一个年轻貌美的...
最近南安碧桂园可是闹得沸沸扬扬的,各种消息层出不穷,让人都看花了眼。这不,我可是费了好大劲儿,搜集到了最新最全的爆料,赶紧来跟你说说看!一、南安碧桂园项目概况南安碧桂园,这个名字在福建地区可是响当当的。这个项目位于南安市,占...
最近娱乐圈可是热闹非凡呢!咱们今天就来聊聊葛思琪和赵露思的八卦,看看这位新晋小花旦赵露思这次又有什么新鲜事儿爆出来呢!葛思琪最新爆料话说回来,葛思琪可是娱乐圈里的小透明,没想到这次竟然爆出了赵露思的大料。原来,赵露思在拍摄某...
你知道吗?最近东北云姐可是爆出了不少猛料哦!这位在网络上颇有影响力的东北大姐大,总是能带来让人眼前一亮的八卦新闻。今天,就让我带你一起深入了解一下她的最新爆料吧!一、云姐的背景故事东北云姐,本名王云,来自我国东北的一个小城市...
巫山爆料:揭秘神秘事件,最新消息曝光!亲爱的读者们,今天我要给大家带来一则让人心跳加速的巫山爆料新闻!巫山,这个位于重庆市东北部,长江三峡库区腹地的神秘之地,最近又发生了什么让人津津乐道的故事呢?让我们一起揭开这层神秘的面纱...
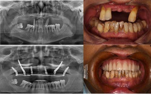
最近佛山那边的种牙事件可是闹得沸沸扬扬的,咱们得好好来聊聊这个话题。你有没有听说,佛山某口腔医院因为种牙问题引发了一场不小的风波?别急,让我带你一探究竟,看看这背后到底隐藏着怎样的秘密。一、事件起因:患者反映种牙后问题不断话...
最近游戏圈可是炸开了锅,关羽的新皮肤终于有了最新爆料,而且还是高清大图哦!你有没有心动呢?快来跟我一起看看这个让人眼前一亮的关羽皮肤吧!一、神秘面纱揭开,关羽新皮肤亮相就在前几天,官方突然放出了一组关羽新皮肤的图片,瞬间吸引...